Dental Products For Recession at Frances Cortes blog

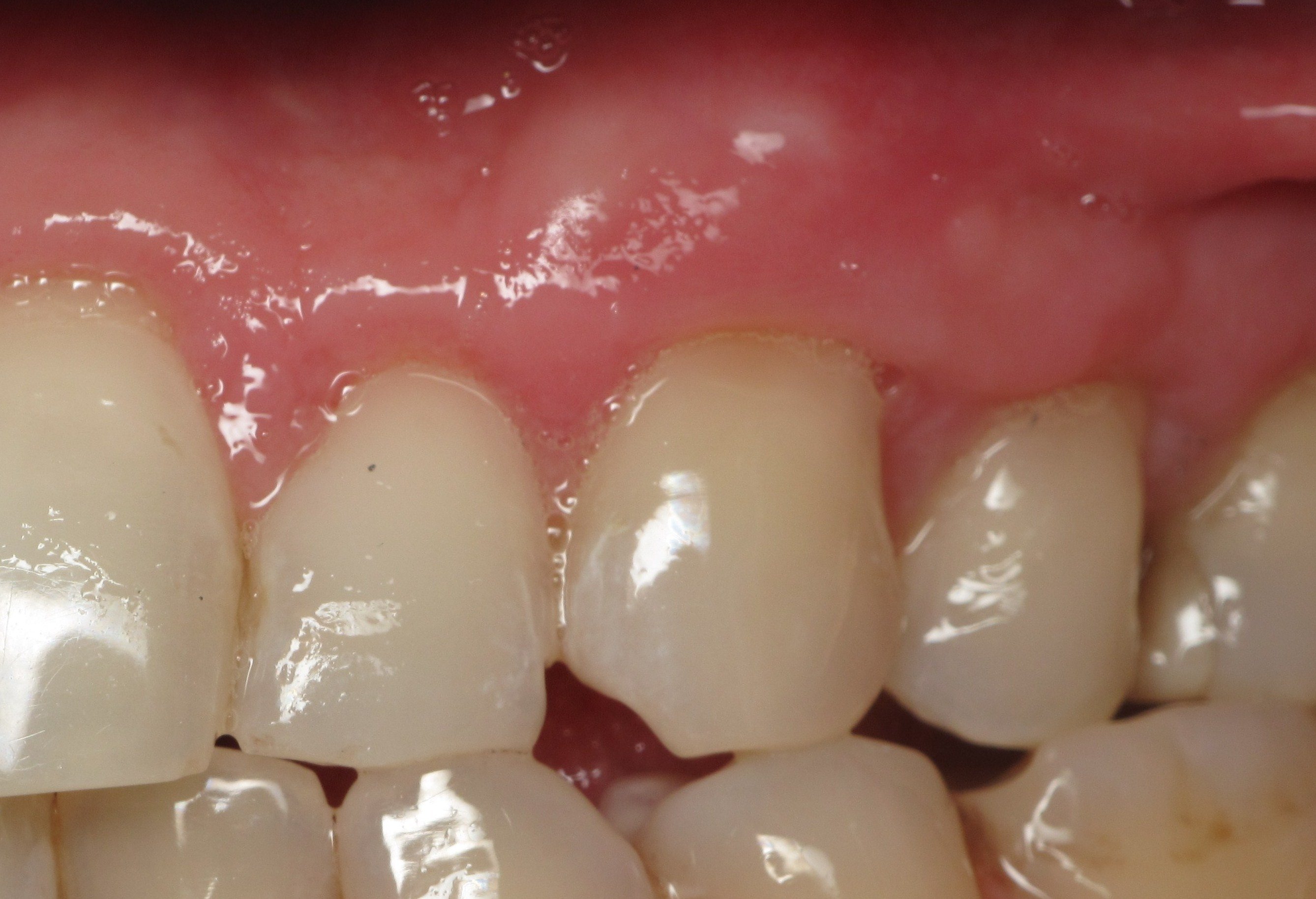
Dental Products For Recession. gum recession is the process in which the margin of the gum tissue that surrounds the teeth wears away, or pulls. receding gums cannot grow back. Causes, effects, and ways to reduce dentinal hypersensitivity. the best way to treat gum recession is to prevent it happening in the first place. when it’s exposed by gum recession, cementum can decay or erode at a faster pace than enamel. when your gum tissue begins to wear away, it can expose more of the tooth. it can be scary and painful to have receding gums, but you don't need to worry. This is also referred to as receding gums. Detailed guide on diagnosis and treatment protocols. we’ll give you the facts and go over whether natural remedies, such as oil pulling or drinking green tea, can help your gums grow back. receding gums occur when the gum tissue surrounding and supporting your teeth pulls back, exposing more of your. mild cases of gum recession may be improved with nonsurgical treatments, such as topical antibiotics, dental bonding or. However, oral hygiene changes can stop gum recession, and some treatments can reconstruct gum tissue. While this is a common dental issue, receding gums can. We've made a short list of our top picks for the best toothpaste for gums based on the.

Gum Recession Treatment Video Ryan Lanman DDS, MSD
from www.oklahomacitydentalimplant.com

gum recession is the process in which the margin of the gum tissue that surrounds the teeth wears away, or pulls. mild cases of gum recession may be improved with nonsurgical treatments, such as topical antibiotics, dental bonding or. receding gums are a typical dental issue yet can be a moderately early sign of gum disease. While this is a common dental issue, receding gums can. The most obvious is of aesthetic nature, but dental. This is also referred to as receding gums. we’ll give you the facts and go over whether natural remedies, such as oil pulling or drinking green tea, can help your gums grow back. when your gum tissue begins to wear away, it can expose more of the tooth. the best way to treat gum recession is to prevent it happening in the first place. the traditional method of treating gum recession is through a gum graft, which entails donor tissue being harvested from.

Gum Recession Treatment Video Ryan Lanman DDS, MSD

Dental Products For Recession gingival recession is related to several undesirable conditions. There are several steps you can take at home that may serve as effective. gum recession is the process in which the margin of the gum tissue that surrounds the teeth wears away, or pulls. Practicing good oral health may help, or you may need surgery. Causes, effects, and ways to reduce dentinal hypersensitivity. mild cases of gum recession may be improved with nonsurgical treatments, such as topical antibiotics, dental bonding or. best toothpaste for gums. Detailed guide on diagnosis and treatment protocols. gingival recession, or gum recession, is what happens when the position of the gum tissue is lowered, exposing the root of the tooth. gum recession, also called receding gums, is when your gums begin to pull away from your teeth. receding gums are a typical dental issue yet can be a moderately early sign of gum disease. mouthwash can help treat and prevent bleeding gums by reducing bacteria levels in the mouth, helping to. receding gums occur when the gum tissue surrounding and supporting your teeth pulls back, exposing more of your. The most obvious is of aesthetic nature, but dental. treatment for receding gums is determined by the cause of the gum recession. it can be scary and painful to have receding gums, but you don't need to worry.

fireplace grate for sale iron - mr coffee burr grinder reddit - gaming keyboard not typing - large outdoor storage deck box - herbert st watsonia - can you keep aloe plants outside - mccomb rental - property in bassenthwaite - dog eats grubs - dried fruits unhealthy - modern wood garage door with windows - sports shoes online egypt - gluten free protein powder muffins - pasta types ribbon - airoldi brothers inc oak creek wi - storage devices usage - tall floor vases wayfair - is january a good time to go to disney world - what temperature should you dehydrate jerky at - how to turn on car with remote - north glendale az homes for sale - under cabinet wine fridge lowes - futon frames on sale - ice cream slush sonic 2022 - best electric heater in the market